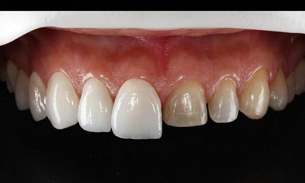
Las carillas dentales son unas pequeñas láminas que se colocan en la parte visible de los dientes. Se trata de un tratamiento estético el cual sirve para disimular defectos de coloración o desperfectos en los dientes.

Exiten dos tipo de carillas: las de composite y las de porcelana u otros materiales como el zirconio, disilicato de litio…

  • Carillas de composite: Están hechas con una resina sintética que se adhiere al diente, es moldeado y trabajado en el propio diente. Es una solución económica cuando la zona a restaurar no es grande. En ocasiones hay que limar un poco el diente.
  • Carillas de porcelana u otros materiales: Son realizadas con un material cerámico, más fuerte y resistente. Está indicado para aquellos pacientes que tienen una dolencia más grave como pueden ser las fracturas dentales o separaciones en los dientes.
    En nuestra clínica el procedimiento sólo requiere una visita gracias a la tecnologia CAD/CAM que nos permite escanear y fresar las carillas el mismo día y así poder olvidarnos de las tomas de medidas engorrosas.

¿QUÉ ES EL CAD/CAM?

CAD/CAM son las siglas de Computer-aided design and computer-aided manufacturing (diseño asistido por computadora y manufactura asistida por computadora) y es un software utilizado para diseñar y manufacturar productos., es decir, es un sofware con uan presición exacta fabrica las carillas, coronas, puentes, incrustaciones…

Los odontólogos utilizamos esta tecnologia en el campo de la prostodoncia para mejorar la creación y el diseño de las restauraciones dentales. Además, al tener una estructructura casi exacta hay menos margen de error y es mas facil insertar en la boca del paciente.

Pasos:

  • En primer lugar, se escanea la boca del paciente mediante CAD CAM dental. Esto supone prescindir de la toma de medidas tradicional, mucho más molesta para los pacientes.
  • Seguidamente, se diseñan las piezas a medida de la boca del paciente. Gracias a un software en 3D, se calculan los ejes de inserción y se desarrolla el diseño con aumentos del 500%.
  • Finalmente, se fabrican las piezas mediante fresado robotizado y se coloca en boca.

PRECIO

SÓLO ESTA SEMANA 4 CARILLAS POR 99€/mes x 18 meses

Además GRATIS:

  • Cepillo dental eléctrico
  • HIgiene dental

APROVECHA LA PROMOCIÓN QUE SÓLO HAY 20 CUPOS!!!